Thoracentesis 2 Image

""

Thoracentesis 2 Image

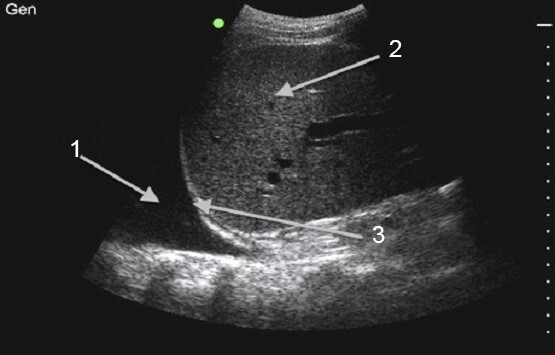
  1. The lung is seen as an echogenic structure moving with respiration
  2. Identify the most inferior fluid pocket while avoiding the lung, solid organ, and diaphragm
  3. Measure to determine appropriate needle depth