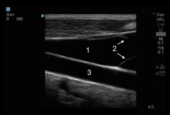
Vascular Internal Jugular Vein (IJV) Long Axis Image

Vascular Internal Jugular Vein (IJV) Long Axis Image

  1. Internal Jugular Vein (IJV)
  2. Valves in IJV
  3. Common Carotid Artery (CCA)