Wrist Compartment Five Image

Wrist Compartment Five Image

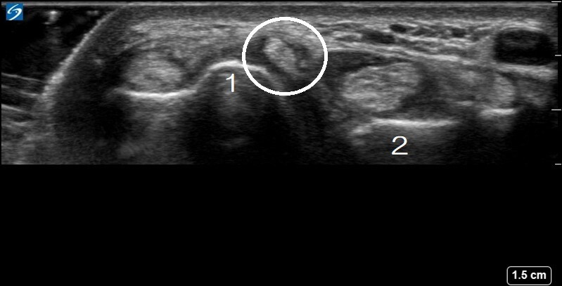
  1. Radius
  2. Ulna

Circled: Extensor Digiti Minimi, which has a retinaculum beneath and above