Wrist Compartment Three 2 Image

Wrist Compartment Three 2 Image

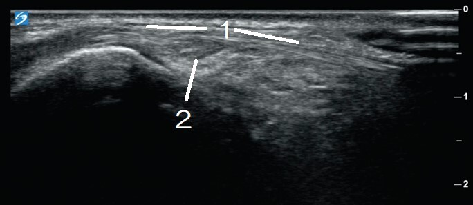
  1. Extensor Pollicis Longus (extremely thin tendon)
  2. Oblique Cross-section of Compartment 2