Wrist Compartments MRI Image

Wrist Compartments MRI Image

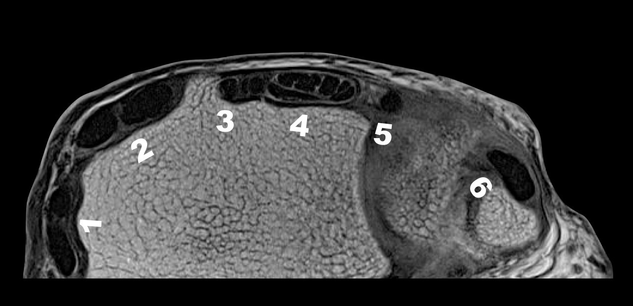
  1. Abductor Pollicis Longus and Extensor Pollicis Brevis (Compartment 1)
  2. Extensor Carpi Radialis Longus and Extensor Carpi Radialis Brevis (Compartment 2)

Lister’s tubercle is in between compartment 2 and compartment 3

  1. Extensor Pollicis Longus (Compartment 3)
  2. Extensor Digitorum and Indicis (Compartment 4)

The radial ulnar joint rests in between compartment 4 and compartment 5

  1. Extensor Digiti Minimi (Compartment 5)
  2. Extensor Carpi Ulnaris (Compartment 6) (over the ulnar styloid)