Wrist Hyaline Cartilage of the Scaphoid Image

Wrist Hyaline Cartilage of the Scaphoid Image

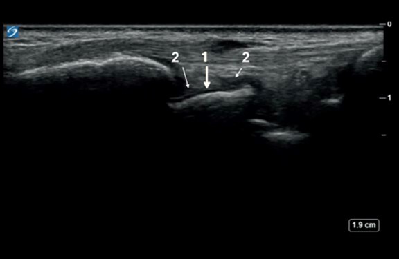
  1. Hyaline Cartilage of the Scaphoid
  2. Normal Amount of Synovial Fluid