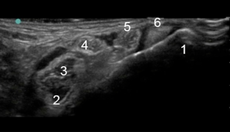
Bild 1: Fuß und Sprunggelenk, medialer Malleolus

Bild 1: Fuß und Sprunggelenk, medialer Malleolus

  1. Medialer Malleolus
  2. Flexor hallucis longus
  3. Nerve (Nerv)
  4. Nerve (Nerv)
  5. Flexor digitorum longus
  6. Sehne des Tibialis posterior