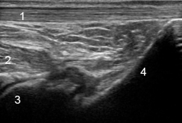
Bild 1: Fuß und Sprunggelenk, posterior, longitudinal

Bild 1: Fuß und Sprunggelenk, posterior, longitudinal

  1. Achillessehne
  2. Flexor hallucis longus
  3. Talus
  4. Calcaneus