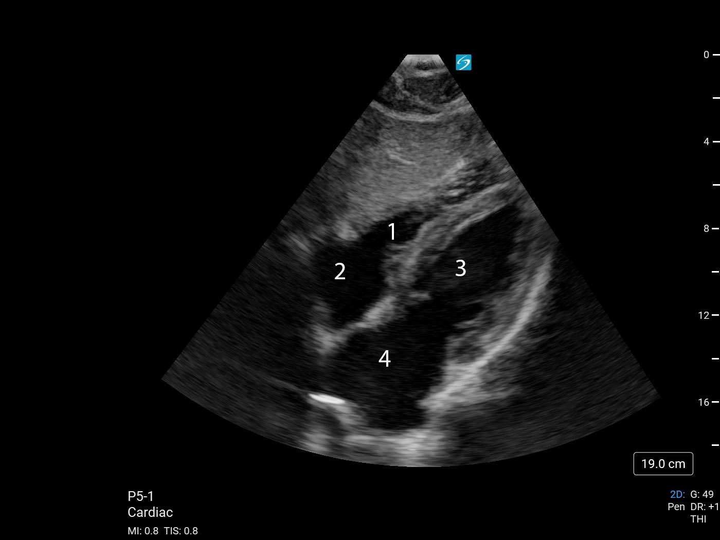
Bild 1: Herz, subkostaler 4-Kammerblick (mit blauem Punkt)

Bild 1: Herz, subkostaler 4-Kammerblick (mit blauem Punkt)

  1. Rechter Ventrikel (RV)
  2. Rechtes Atrium (RA)
  3. Linker Ventrikel (LV)
  4. Linkes Atrium (LA)