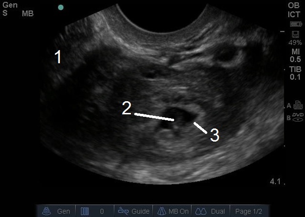
Bild 1: Transvaginaler (TV) Ultraschall des Beckens, ektopische Schwangerschaft, Adnexe

Bild 1: Transvaginaler (TV) Ultraschall des Beckens, ektopische Schwangerschaft, Adnexe

  1. Uterus
  2. Ektopisch
  3. Gestationssack