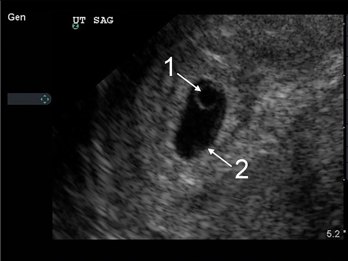
Bild 1: Transvaginaler (TV) Ultraschall des Beckens, Intrauteringravidität mit Dottersack, Zoom

Bild 1: Transvaginaler (TV) Ultraschall des Beckens, Intrauteringravidität mit Dottersack, Zoom

  1. Dottersack
  2. Gestationssack