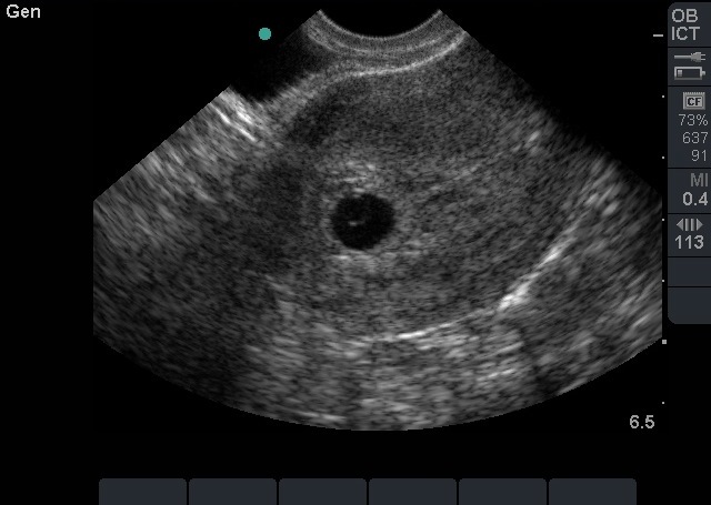
Bild 1 und 2: Transvaginaler (TV) Ultraschall des Beckens, Intrauteringravidität mit Dottersack, Zoom

Bild 1 und 2: Transvaginaler (TV) Ultraschall des Beckens, Intrauteringravidität mit Dottersack, Zoom