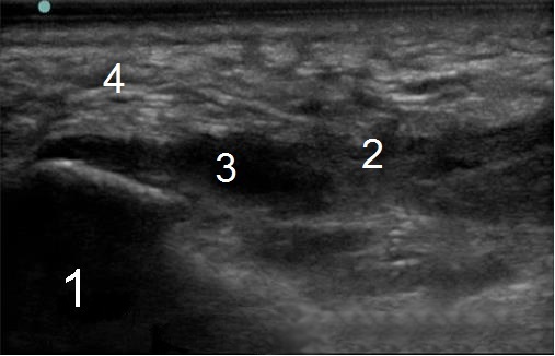
Bild 2: Fuß und Sprunggelenk, Ruptur der Aponeurosis plantaris

Bild 2: Fuß und Sprunggelenk, Ruptur der Aponeurosis plantaris

  1. Rechts
  2. Teile des Stumpfes der Aponeurosis plantaris
  3. Lage der Ruptur/des Risses
  4. Fettkörper