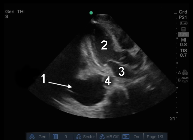
Bild 2: Herz, parasternale lange Achse (PLAX), Pleuraflüssigkeit

Bild 2: Herz, parasternale lange Achse (PLAX), Pleuraflüssigkeit

  1. Rechter Pleuraerguss (Flüssigkeit)
  2. Linker Ventrikel (LV)
  3. Linkes Atrium (LA)
  4. Aorta (Ao)