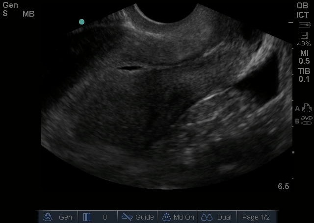
Bild 2: Transvaginaler (TV) Ultraschall des Beckens, ektopische Schwangerschaft, Pseudogestationssack, sagittal, freie Flüssigkeit

Bild 2: Transvaginaler (TV) Ultraschall des Beckens, ektopische Schwangerschaft, Pseudogestationssack, sagittal, freie Flüssigkeit