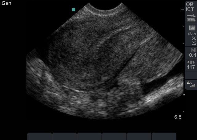
Bild 2: Transvaginaler (TV) Ultraschall des Beckens, ektopische Schwangerschaft, sagittal, leerer Uterus mit freier Flüssigkeit

Bild 2: Transvaginaler (TV) Ultraschall des Beckens, ektopische Schwangerschaft, sagittal, leerer Uterus mit freier Flüssigkeit