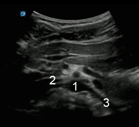
Bild: Aorta, Arteria mesenterica superior (AMS), Arteria renalis

Bild: Aorta, Arteria mesenterica superior (AMS), Arteria renalis

  1. Aorta (Ao)
  2. Rechte Arteria renalis (RAR)
  3. Linke Arteria renalis (LAR)