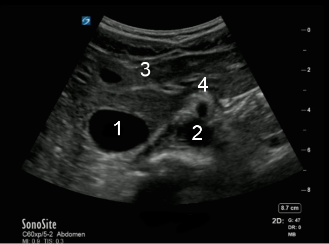
Bild: Aorta, Arteria mesenterica superior (AMS), transversal

Bild: Aorta, Arteria mesenterica superior (AMS), transversal

  1. Vena cava inferior (VCI)
  2. Aorta (Ao)
  3. Leber
  4. Arteria mesenterica superior (AMS)