Bild: Augen, Stauungspapille

Bild: Augen, Stauungspapille

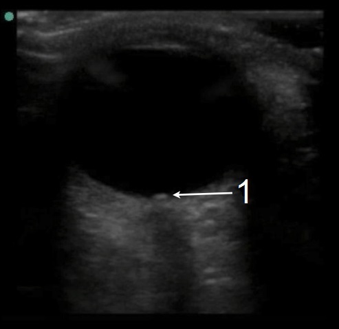
  1. Die Schwellung der Papilla nervi optici weist auf eine Stauungspapille hin