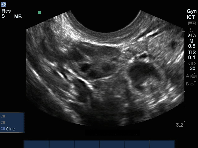
Bild: Becken, endovaginaler Ultraschall des rechten Ovariums

Bild: Becken, endovaginaler Ultraschall des rechten Ovariums

Endovaginaler Ultraschall des rechten Ovariums