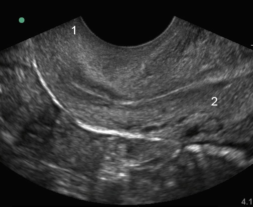
Bild: Becken, endovaginaler Ultraschall des Uterus – Unteres Segment des Uterus, sagittal

Bild: Becken, endovaginaler Ultraschall des Uterus – Unteres Segment des Uterus, sagittal

  1. Cervix
  2. Mittlerer Uterus