Bild: Fuß und Sprunggelenk, Abrissfraktur d. Malleolus lateralis

Bild: Fuß und Sprunggelenk, Abrissfraktur d. Malleolus lateralis

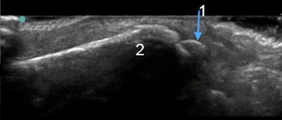
  1. Abrissfraktur d. Malleolus lateralis
  2. Malleolus lateralis