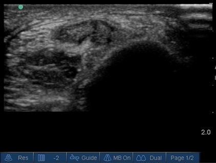
Bild: Fuß und Sprunggelenk, Dynamische Ultraschalluntersuchung bei einer Sehnenruptur des Peroneus brevis

Bild: Fuß und Sprunggelenk, Dynamische Ultraschalluntersuchung bei einer Sehnenruptur des Peroneus brevis