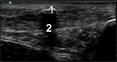
Bild: Fuß und Sprunggelenk, intrasubstantielle Kalkablagerungen

Bild: Fuß und Sprunggelenk, intrasubstantielle Kalkablagerungen

  1. Kalziumablagerung innerhalb der Sehne
  2. Schatten einer Kalkablagerung (posteriorer Schallschatten)