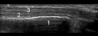
Bild: Fuß und Sprunggelenk, lateral, Peronealsehne, longitudinal

Bild: Fuß und Sprunggelenk, lateral, Peronealsehne, longitudinal

  1. Malleolus lateralis
  2. Peroneus brevis
  3. Peroneus longus