Bild: Fuß und Sprunggelenk, Recessus anterior, Anatomie, lange Achse

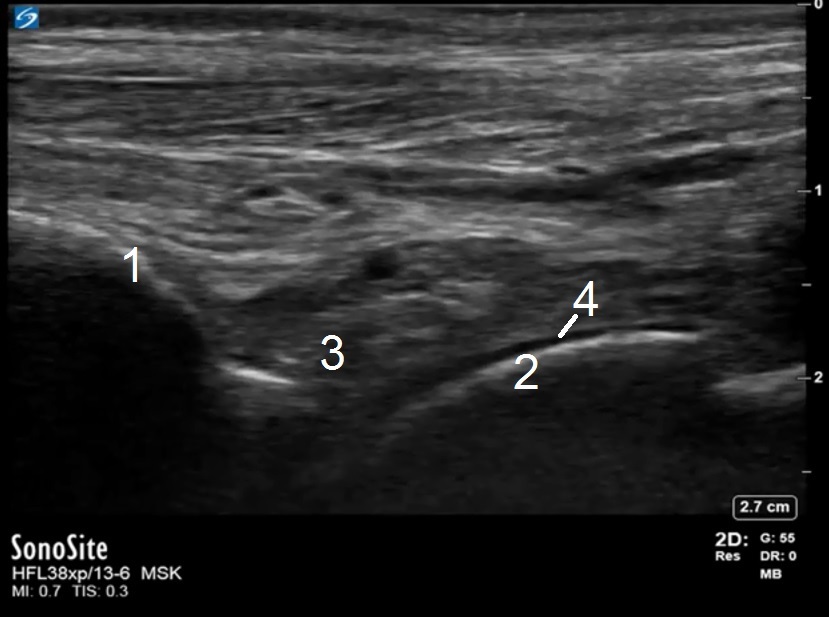
Bild: Fuß und Sprunggelenk, Recessus anterior, Anatomie, lange Achse

  1. Tibia
  2. Talus
  3. Recessus des Tibiotalargelenks
  4. Hyaliner Knorpel