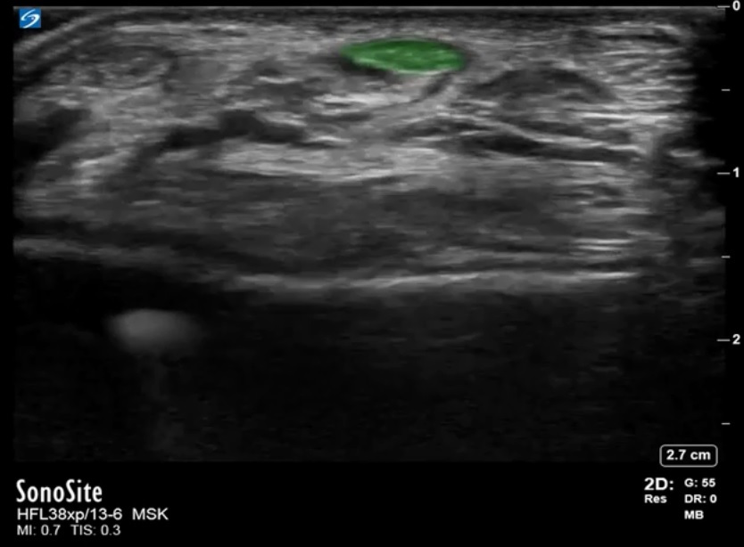
Bild: Fuß und Sprunggelenk, Recessus anterior des Extensor hallucis longus

Bild: Fuß und Sprunggelenk, Recessus anterior des Extensor hallucis longus

Markierter Bereich: Sehne des Extensor hallucis longus