Bild: Fuß und Sprunggelenk, Recessus anterior des Tibiotalargelenks

Bild: Fuß und Sprunggelenk, Recessus anterior des Tibiotalargelenks

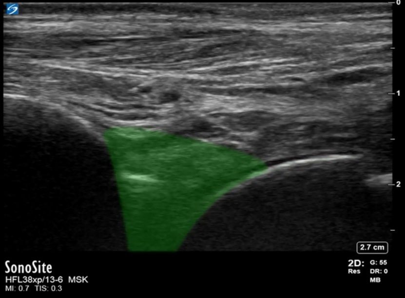
Bild: Sprunggelenk, Recessus anterior des Tibiotalargelenks