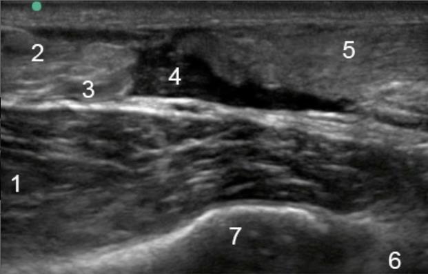
Bild: Fuß und Sprunggelenk, Ruptur d. Achillessehne, longitudinal

Bild: Fuß und Sprunggelenk, Ruptur d. Achillessehne, longitudinal

  1. Flexor hallucis longus
  2. Achillessehne
  3. Soleus
  4. Lücke in der Sehne
  5. Achillessehne
  6. Talus
  7. Tibia