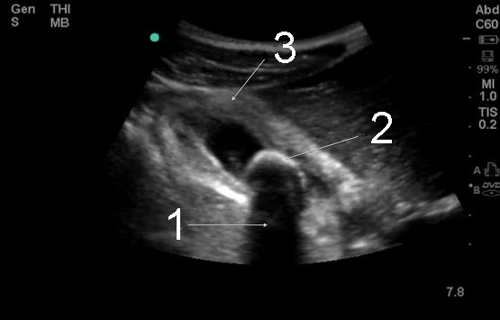
Bild, Gallenblase, transversal, akute Cholezystitis

Bild, Gallenblase, transversal, akute Cholezystitis

  1. Schallschatten
  2. Cholelithiasis
  3. Verdickte Gallenblasenwand