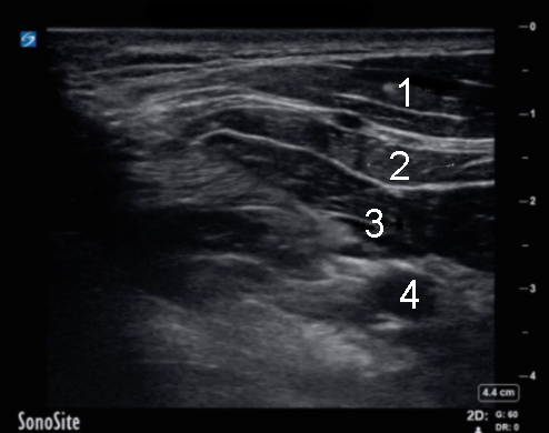
Bild: Infraklavikulärer Ultraschall

Bild: Infraklavikulärer Ultraschall

  1. Musculus pectoralis major
  2. Musculus pectoralis minor
  3. Nadelspitze
  4. Arterie