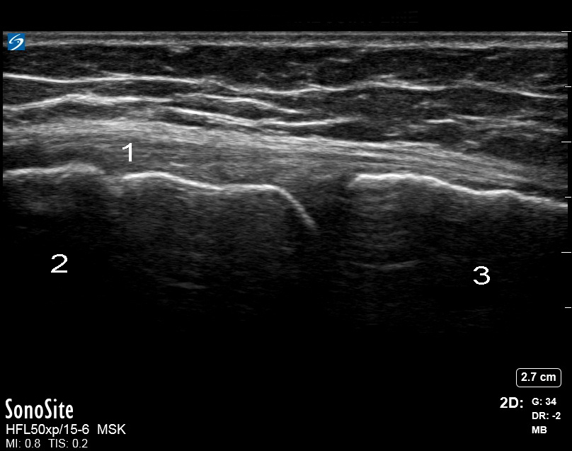
Bild: Knie, Ligamentum collaterale mediale (LCM)

Bild: Knie, Ligamentum collaterale mediale (LCM)

Mediale Gelenklinie

  1. Ligamentum collaterale mediale (LCM)
  2. Femur
  3. Tibia