Skip to main content
Was möchten Sie lernen?
Einloggen
Jetzt anmelden
Einloggen
Menu
Mein Profil
Meine Kurse
Admin Courses
Ausloggen
Main navigation
Startseite
Kurse
Webinare
Product Training
Toolkits
Menu
Sonosite-Ressourcen
Zusätzliche Ressourcen
E-Bibliothek
Partners
Kontakt
Deutsch
English
Español
日本語
Français
简体中文
Deutsch
English
Español
日本語
Français
简体中文
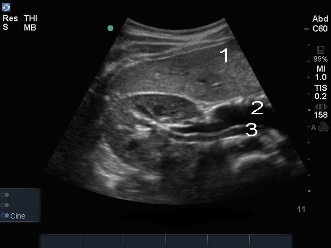
Bild: Leber und rechte Niere, transversal
Bild: Leber und rechte Niere, transversal
Leber
Vene
Arterie