Bild: M-Turbo, Plexus brachialis, supraklavikulare Injektion

Bild: M-Turbo, Plexus brachialis, supraklavikulare Injektion

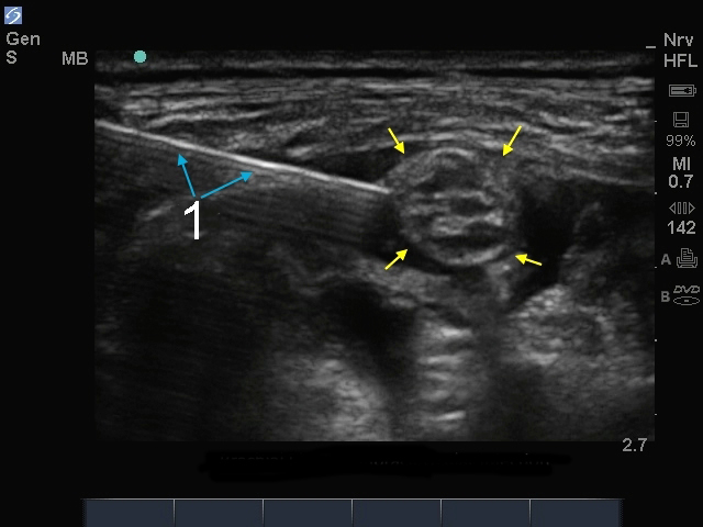
M-Turbo: Plexus brachialis, supraklavikulare Injektion

  1. Nadel

Gelbe Pfeile: Nerv