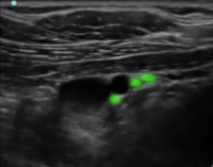
Bild: Regio infraclavicularis, laterale und posteriore Stränge

Bild: Regio infraclavicularis, laterale und posteriore Stränge

Markierter Bereich: Posteriore Stränge