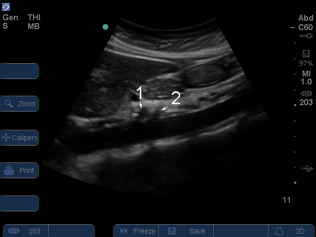
Bild: S Series, proximale Aorta/Truncus coeliacus - Arteria mesenterica superior (AMS), Arterien

Bild: S Series, proximale Aorta/Truncus coeliacus - Arteria mesenterica superior (AMS), Arterien

Aorta abdominalis

  1. Truncus coeliacus
  2. Arteria mesenterica superior (AMS)