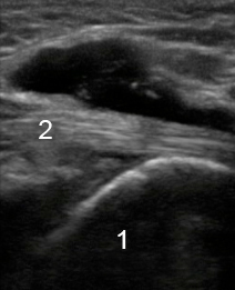
Bild: Sprunggelenk, medialer Erguss am Flexor hallucis longus, longitudinal

Bild: Sprunggelenk, medialer Erguss am Flexor hallucis longus, longitudinal

  1. Longitudinal
  2. Erguss am Flexor hallucis longus (FHL)