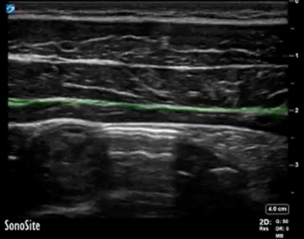
Bild: TAP, Faszie zwischen M. obliquus internus und M. transversus abdominis

Bild: TAP, Faszie zwischen M. obliquus internus und M. transversus abdominis

Markierter Bereich: Faszie zwischen M. obliquus internus und M. transversus abdominis