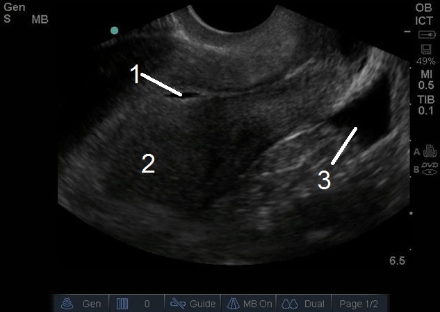
Bild: Transvaginaler (TV) Ultraschall des Beckens, ektopische Schwangerschaft, Pseudo-Fruchtblase, sagittal, freie Flüssigkeit

Bild: Transvaginaler (TV) Ultraschall des Beckens, ektopische Schwangerschaft, Pseudo-Fruchtblase, sagittal, freie Flüssigkeit

  1. Pseudogestationssack
  2. Leerer Uterus
  3. Freie Flüssigkeit im rektovesikulären Raum, posterior