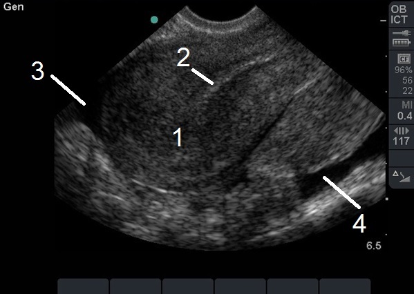
Bild: Transvaginaler (TV) Ultraschall des Beckens, ektopische Schwangerschaft, sagittal, leerer Uterus mit freier Flüssigkeit

Bild: Transvaginaler (TV) Ultraschall des Beckens, ektopische Schwangerschaft, sagittal, leerer Uterus mit freier Flüssigkeit

  1. Leerer Uterus
  2. Endometriumstrfn.
  3. Freie Flüssigkeit im rektovesikulären Raum, anterior
  4. Freie Flüssigkeit im rektovesikulären Raum, posterior