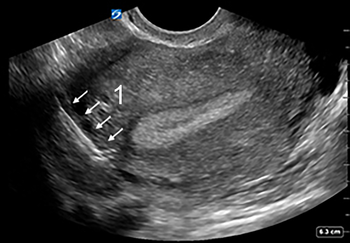
Bild: Transvaginaler (TV) Ultraschall des Beckens und Uterus mit disloziertem Intrauterinpessar (IUP), sagittal

Bild: Transvaginaler (TV) Ultraschall des Beckens und Uterus mit disloziertem Intrauterinpessar (IUP), sagittal

  1. IUP