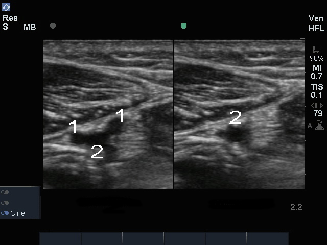
Bild: Vena radialis mit Kompression

Bild: Vena radialis mit Kompression

Links: Vena radialis

Rechts: Vena radialis mit Kompression

  1. Vene
  2. Arterie