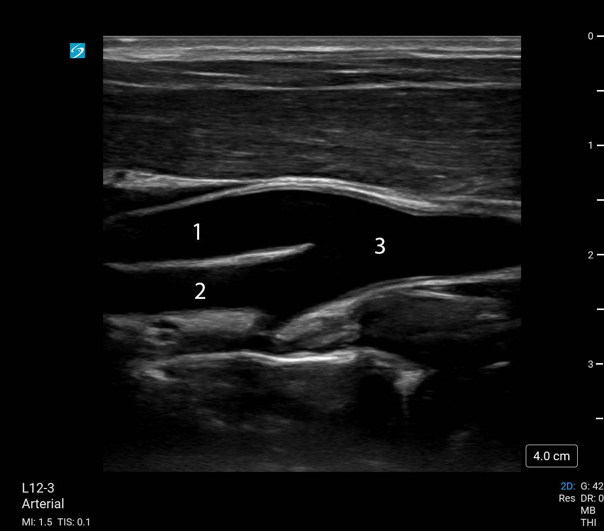
Bild: Verzweigung der Karotis

Bild: Verzweigung der Karotis

  1. Arteria carotis externa (ACE)
  2. Arteria carotis interna (ACI)
  3. Arteria carotis communis (ACC)