Tiefe Venenthrombose (TVT), Verzweigung der Vena femoralis communis (VFC) und der Vena profunda - Bild

Tiefe Venenthrombose (TVT), Verzweigung der Vena femoralis communis (VFC) und der Vena profunda - Bild

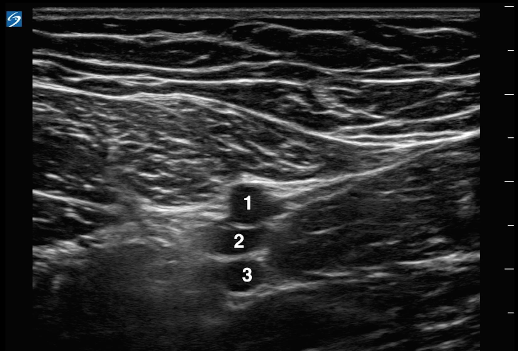
  1. Arteria femoralis communis (VFC)
  2. Vena femoralis (VF)
  3. Vena femoralis profunda