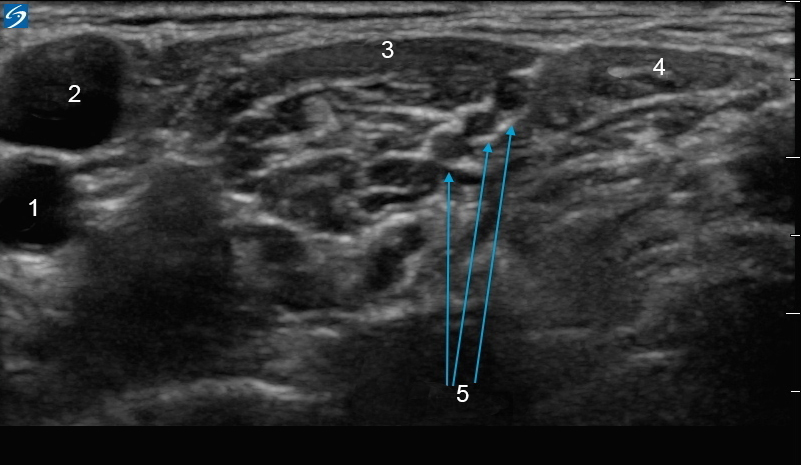
X-Porte: Interskalenärer Raum 1

X-Porte: Interskalenärer Raum 1

  1. A. carotis
  2. Vena jugularis
  3. M. scalenus anterior
  4. Musculus scalenus medius
  5. Nerven