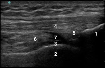
Knee Suprapatellar Recess with 30 degree Flexion Image

Knee Suprapatellar Recess with 30 degree Flexion Image

  1. Patella (Superior Pole of the Patella)
  2. Femoral Condyle of the Distal Femur
  3. Trochlear Cartilage
  4. Quadriceps Tendon
  5. Quadriceps Fat Pad
  6. Pre-femoral Fat Pad
  7. Suprapatellar Recess