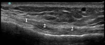
Knee Pes Anserine Transverse Image Medial Collateral Ligament (MCL) over Medial Tibial Neck Oblique Pes Anserine Tendons