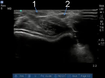
Elbow Distal Biceps Tendon Short Axis Image Distal Biceps Tendon Brachial Artery (before ulnar branch)