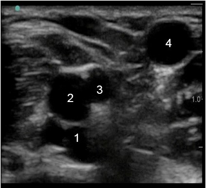
Peripheral IV (PIV) Brachial Vein and Artery and Basilic Vein Image

Peripheral IV (PIV) Brachial Vein and Artery and Basilic Vein Image

  1. Brachial Vein
  2. Brachial Artery
  3. Brachial Vein
  4. Basilic Vein