Skip to main content
何を学びたいですか?
サインイン
今すぐ参加
サインイン
Menu
私のプロフィール
私のコース
Admin Courses
サインアウト
Main navigation
ホーム
コース
ウェビナー
Product Training
ツールキット
Menu
Sonositeのリソース
追加のリソース
Eライブラリー
寄稿者
お問い合わせ
日本語
English
Español
Deutsch
Français
简体中文
日本語
English
Español
Deutsch
Français
简体中文
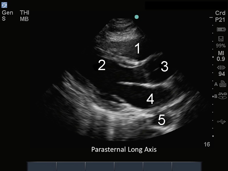
M-Turbo: 傍胸骨長軸(PLAX)画像
M-Turbo: 傍胸骨長軸(PLAX)画像
M-Turbo: 傍胸骨長軸
右心室 (RV)
左心室(LV)
上行大動脈(Ao)
左心房(LA)
下行大動脈(Ao)